第二临床医学院苏丽萍教授课题组发表免疫肿瘤治疗时代原发性胃弥漫大B细胞淋巴瘤的预后因素的研究
第二临床医学院苏丽萍教授课题组在Turkish Journal of Hematology上发表了题为 “Primary gastric diffuse large B-cell lymphoma: Prognostic factors in the immuno-oncology therapeutics era” 的研究论文。苏丽萍课题组博士研究生白志敏是该篇论文的第一作者,苏丽萍教授是通信作者。
原发性胃弥漫大B细胞淋巴瘤(PG-DLBCL)是一种罕见的异质性胃恶性肿瘤,但却是原发结外非霍奇金淋巴瘤最常见的亚型。既往研究发现PG-DLBCL的总体预后与肿瘤特性及宿主相关因素有关,如肿瘤的组织学亚型、年龄及患者的营养状况等。随着免疫治疗新疗法的出现,十分有必要从宿主免疫功能的角度评估PG-DLBCL的预后。
本研究使用确诊24个月后的无事件生存及后续总生存期作为研究的主要终点,回顾性分析了PG-DLBCL的临床特征,确定了低水平的CD4/CD8与较差的后续总生存期有关,且代表宿主免疫力的CD4/CD8比值优于PG-DLBCL的其他预后因素,这可能有助于筛选患者进行临床免疫肿瘤治疗。

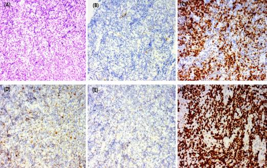
图1-1 PG-DLBCL的组织病理及免疫组织化学染色
注:A. H&E染色B. CD10表达(-)C. Bcl-6表达(+)D. 30%MUM1表达(+)E. 10%Bcl-2表达(+)F. Ki67呈弥漫性强(+)

图1-3 PG-DLBCL患者后续OS的预后因素
表1-4PG-DLBCL患者后续OS相关的危险因素
Variable |
Univariate Analysis |
Multivariate Analysis |
Mean survival of subsequent OS (months, 95%CI) |
P value |
RR 95%CI |
P value |
Sex |
|
|
|
|
Female |
48(39,58) |
0.317 |
|
|
Male |
41(31,50) |
|
|
|
Lugano staging |
|
|
|
|
I-II1 |
48(39,57) |
0.244 |
|
|
≥II2 |
36(28,45) |
|
|
|
IPI score |
|
|
|
|
0-2 |
48(41,55) |
0.030 |
Not significant |
|
≥3 |
29(16,42) |
|
|
|
Ki67 |
|
|
|
|
≤70% |
39(27,52) |
0.975 |
|
|
>70% |
44(36,51) |
|
|
|
β2-MG |
|
|
|
|
normal |
49(42,56) |
0.005 |
Not significant |
|
High |
28(15,41) |
|
|
|
CD4/CD8 ratio |
|
|
|
|
normal |
53(44,61) |
0.029 |
3.26(1.06,10.06) |
0.039 |
Low |
36(26,46) |
|
|
|
Albumin |
|
|
|
|
≥35g/L |
45(38,53) |
0.179 |
|
|
<35g/L |
39(28,50) |
|
|
|
LDH |
|
|
|
|
≤245U/L |
48(41,55) |
0.009 |
Not significant |
|
>245U/L |
27(15,40) |
|
|
|
ALC |
|
|
|
|
normal |
45(38,53) |
0.361 |
|
|
Low |
34(21,47) |
|
|
|
PS |
|
|
|
|
<2 |
45(38,53) |
0.372 |
|
|
≥2 Hans classification GCB non-GCB |
39(24,53) 36(26,46) 44(34,54) |
0.838 |
|
|